Hồi Sinh Kỳ Diệu: Ngón Tay Đứt Rời 25 Giờ Được Nối Lại Thành Công
-
Người viết: Nguyễn Kỳ
/
Một ca phẫu thuật hi hữu vừa được thực hiện tại Bệnh viện Hữu nghị Việt Đức - nối lại ngón trỏ bị đứt rời của một thủy thủ sau 25 giờ thiếu máu - đánh dấu lần đầu tiên tại Việt Nam ê-kíp y tế đạt được thành công trong điều kiện tưởng chừng “vô vọng”.
Tai nạn khi đang làm nhiệm vụ trên biển
Nạn nhân - anh D., 38 tuổi, là thủy thủ trên tàu viễn dương. Trong lúc tàu bị ảnh hưởng bởi bão số 12 khi đang làm nhiệm vụ ngoài khơi miền Trung, một va đập mạnh khiến ngón trỏ bàn tay phải của anh đứt lìa.
Ngay sau tai nạn, các thủy thủ trên tàu đã sơ cứu ban đầu và bảo quản phần chi đứt rời vào bình giữ nhiệt trước khi đưa anh vào bờ. Do điều kiện thời tiết xấu và khoảng cách lớn, việc di chuyển rất khó khăn. Dù vậy, ngón tay rời vẫn được giữ trong tình trạng mềm, mô chưa hoại tử - điều kiện quan trọng để hy vọng nối lại.
Sau khi sơ cứu tại cơ sở y tế gần nhất ở miền Trung, gia đình anh đã tổ chức bay ngay trong đêm ra Hà Nội để đến bệnh viện chuyên sâu. Tổng thời gian từ lúc bị đứt đến khi bắt đầu phẫu thuật đã kéo dài khoảng 25 giờ.

Quyết định táo bạo - hội chẩn nhanh & phẫu thuật vi phẫu
Khi tiếp nhận, các bác sĩ tại Việt Đức đánh giá phần chi thể vẫn mềm, cấu trúc mô và xương ngón tay chưa biến đổi, là cơ hội cuối cùng có thể cứu sống ngón tay. Hội đồng y khoa gồm chuyên gia phẫu thuật tạo hình, chỉnh hình, gây mê hồi sức đã quyết định tiến hành vi phẫu khẩn cấp.
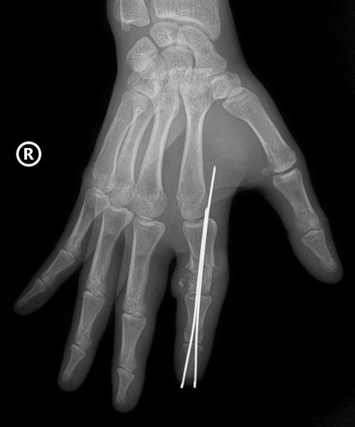
Trong phòng mổ, hai kíp phẫu thuật hoạt động song song - một kíp xử lý phần ngón đứt rời, kíp còn lại chuẩn bị phần mỏm cụt. Xương ngón được cố định bằng kim chuyên dụng để tạo trục vững; gân và dây chằng được khâu phục hồi; sau đó là bước nối thần kinh và đặc biệt nối các mạch máu nhỏ chỉ khoảng 0,8-1 mm - một công đoạn đòi hỏi độ chính xác cao dưới kính hiển vi.
Đây chính là khâu khó nhất: nếu mạch máu không thông, ngón tay sẽ không được tưới máu, mô hoại tử. Thêm vào đó, với lần đầu tiên tại Việt Nam nối chi thể sau thời gian thiếu máu dài như vậy, ê-kíp còn phải kiểm soát nhiệt độ, chống co thắt mạch và theo dõi tuần hoàn ngoại vi sát sao.

Kỳ tích đạt được - hy vọng cho mọi trường hợp
Ca phẫu thuật thành công: sau mổ, ngón tay của anh D hồng trở lại, tuần hoàn ổn định. Bệnh nhân đã cắt chỉ, rút kim cố định và hiện đang tiến hành vật lý trị liệu để phục hồi chức năng, cảm giác và vận động.
Các bác sĩ đánh giá, yếu tố quan trọng giúp ca mổ thành công vượt ngưỡng “thời gian vàng” là: bảo quản phần chi đứt rời đúng cách ngay từ hiện trường; phẫu thuật vi phẫu chính xác nhờ kính hiển vi; sự phối hợp đa chuyên khoa nhanh - cùng với điều kiện mô, cấu trúc ngón tay phù hợp để chịu thiếu máu lâu.

Bài học từ ca hy hữu - Hướng dẫn sơ cứu & bảo quản chi thể đứt rời
Từ trường hợp này, các chuyên gia y tế khuyến cáo: khi gặp tai nạn có chi thể đứt rời - ngón tay, bàn tay, chân - cần sơ cứu và bảo quản đúng cách ngay tại hiện trường. Cụ thể:
- Không ngâm chi thể vào bất kỳ dung dịch sát trùng, hóa chất hoặc nước bẩn.
- Nếu có dị vật hoặc bẩn, chỉ nên rửa nhẹ bằng nước sạch hoặc nước đun sôi để nguội.
- Bọc chi thể bằng gạc hoặc khăn sạch, đặt vào túi ni-lông buộc kín, sau đó cho vào túi khác chứa đá lạnh, tránh tiếp xúc trực tiếp giữa chi thể với đá lạnh.
- Vận chuyển nhanh đến cơ sở y tế có khả năng phẫu thuật vi phẫu - thời gian là yếu tố sống còn.
Kỹ thuật vi phẫu cùng xử lý đúng đắn ngay từ ban đầu có thể giúp cứu sống chi thể tưởng chừng đã mất - mang lại hy vọng cho nhiều nạn nhân gặp tai nạn nghiêm trọng.
Nguồn: nhandan.vn
----------------------------------
Yuzuha Shop - Sức khỏe cha mẹ và Hạnh phúc trẻ thơ
Hotline: 0919 18 77 44 (08:00 AM - 17:30 PM từ T2 - T6)



Viết bình luận